Pirfenidona: una opción prometedora para frenar la fibrosis hepática en la esteatohepatitis metabólica
- Escrito por Dr. Jorge Luis Poo
- Publicado en Fibrosis Hepática
La enfermedad hepática por esteatosis metabólica, —en adelante abreviada como EHEM (en inglés conocida como MASLD)— representa hoy la causa más frecuente de enfermedad hepática crónica a nivel mundial. Se estima que afecta a más de un tercio de la población adulta, en estrecha relación con obesidad, resistencia a la insulina y diabetes tipo 2. Dentro de este espectro, la esteatohepatitis metabólica (EHM) constituye la forma progresiva y clínicamente más relevante, caracterizada por inflamación, daño hepatocelular y distintos grados de fibrosis del hígado.
Diversos estudios han demostrado de manera consistente que el grado de fibrosis hepática es el principal determinante del pronóstico, por encima incluso de la cantidad de grasa o del grado de inflamación. A mayor fibrosis, mayor riesgo de cirrosis, descompensación hepática, carcinoma hepatocelular y mortalidad. Por ello, el desarrollo de estrategias terapéuticas antifibróticas representa una prioridad en el manejo moderno de la EHM.
Por ello, los investigadores mexicanos Mariana Ramírez-Mejía, Guadalupe Ponciano-Rodríguez y Nahum Méndez-Sánchez, del Hospital y Fundación Médica Sur y de la Facultad de Medicina de la UNAM, y el Dr. Jorge Luis Poo, del Grupo Mexicano para el Estudio de las Enfermedades Hepáticas, conocedores de la importancia pronóstica de la fibrosis hepática, hicieron una revisión temática sobre los efectos de la Pirfenidona, un fármaco anti fibrótico disponible en México, —en una forma farmacéutica de liberación prolongada y comercializada como Kitoscell LP— que ha acumulado diversas evidencias clínicas de su eficacia y seguridad que lo posicionan como una terapia emergente, de potencial acceso en el mercado nacional. El artículo científico fue publicado apenas en el mes de enero de 2026, en la revista Archives of Medical Research enfocada en biomedicina, investigación clínica y epidemiología y publicada por la prestigiosa editorial Elsevier, lider mundial en el campo de la biomedicina; es una revista híbrida (acceso abierto/suscripción) de alto impacto (4.7 en 2023) que publica investigaciones originales en inglés, siendo referente en América Latina.
En este contexto, la pirfenidona, un fármaco antifibrótico aprobado desde hace años para la fibrosis pulmonar idiopática, ha emergido como una opción terapéutica potencialmente relevante en la fibrosis hepática, particularmente en estadios avanzados. El artículo que aquí se reseña revisa de forma integral sus mecanismos de acción y la evidencia clínica disponible.

La fibrosis hepática como eje central de la progresión de la EHEM
La fibrosis hepática es el resultado de una respuesta crónica de reparación frente a un daño persistente, cotidiano, silencioso, por años. En la EHEM, este daño se origina por la acumulación excesiva de lípidos tóxicos en el hepatocito (la célula principal del hígado), lo que genera estrés oxidativo (con acumulo de substancias dañinas), disfunción mitocondrial y muerte celular. Como consecuencia, se activa una respuesta inflamatoria sostenida que involucra diversas células llamadas: polimorfonucleares, linfocitos y macrófagos hepáticos que son activados por diversas señales de amplificación conocidas como mediadores proinflamatorios.
El evento clave en la progresión hacia fibrosis es la activación de las células estrelladas hepáticas, que pasan de un estado quiescente (como si estuvieran dormidas) a uno fibrogénico, productor de colágena y matriz extracelular. Este proceso está regulado por múltiples señales moleculares, entre las que destacan el factor de crecimiento transformante beta (TGF-β) y el factor de crecimiento derivado de plaquetas (PDGF), además de vías asociadas al estrés oxidativo y a la inflamación crónica. Por ello, un tratamiento eficaz para la EHEM avanzada debe ir más allá del control metabólico y actuar directamente sobre los mecanismos que originan la fibrosis (fibrogénesis).
Pirfenidona: un agente antifibrótico de acción pleiotrópica: significa más de un mecanismo de acción o participación
La pirfenidona es una molécula pequeña con propiedades antifibróticas, antiinflamatorias, antioxidantes e inmunomoduladoras. A diferencia de otros fármacos que actúan sobre un solo blanco terapéutico, su interés radica en su acción pleiotrópica, es decir, su capacidad de intervenir en distintos puntos clave del proceso fibrogénico. Los estudios preclínicos en modelos de fibrosis hepática han demostrado que la pirfenidona:
- Inhibe la activación de las células estrelladas hepáticas.
- Reduce la producción y depósito de colágena.
- Disminuye la señalización mediada por TGF-β y PDGF.
- Atenúa el estrés oxidativo mediante la activación de la vía Nrf2.
- Reduce la expresión de citocinas proinflamatorias como TNF-α, IL-1β e IL-6.
Estos efectos combinados generan un microambiente hepático menos fibrogénico, favoreciendo el equilibrio entre formación y degradación de matriz extracelular.
Efectos antiinflamatorios y antioxidantes
El estrés oxidativo juega un papel central en la perpetuación del daño hepático en la MASH. La acumulación de especies reactivas de oxígeno no solo lesiona directamente al hepatocito, sino que amplifica la señalización proinflamatoria y profibrótica. La pirfenidona ha demostrado activar la vía del factor nuclear eritroide 2 relacionado con el factor 2 (Nrf2), lo que incrementa la expresión de enzimas antioxidantes y reduce la peroxidación lipídica. De forma paralela, inhibe la activación del factor nuclear kappa B (NF-κB), uno de los principales reguladores de la inflamación crónica. Este doble efecto contribuye a romper el círculo vicioso entre inflamación, estrés oxidativo y fibrosis, característico de la MASH avanzada.
Modulación inmunológica y efectos epigenéticos
Más allá de sus acciones clásicas, la pirfenidona también ejerce efectos sobre el sistema inmunológico hepático. Estudios experimentales han mostrado que favorece un cambio en el perfil de los macrófagos hepáticos hacia un fenotipo menos inflamatorio, lo que contribuye a disminuir la progresión de la fibrosis. Es importante aclarar que el término “fenotipo” se refiere a la manifestación física, fisiológica, bioquímica o de comportamiento de un organismo, determinado por la interaccción entre los genes y el medio ambiente.
De particular interés es la evidencia emergente de que la pirfenidona puede inducir cambios epigenéticos, modulando la expresión de genes relacionados con la fibrogénesis. Se ha observado reducción de microARNs profibróticos y modificaciones en la metilación de genes clave como TGF-β, lo que sugiere un potencial efecto “reprogramador” de la respuesta fibrogénica. La epigenetica se define cómo ese proceso por el cual el medio ambiente (la dieta, el ejercicio y algunos fármacos) pueden modificar la expresión de los genes.

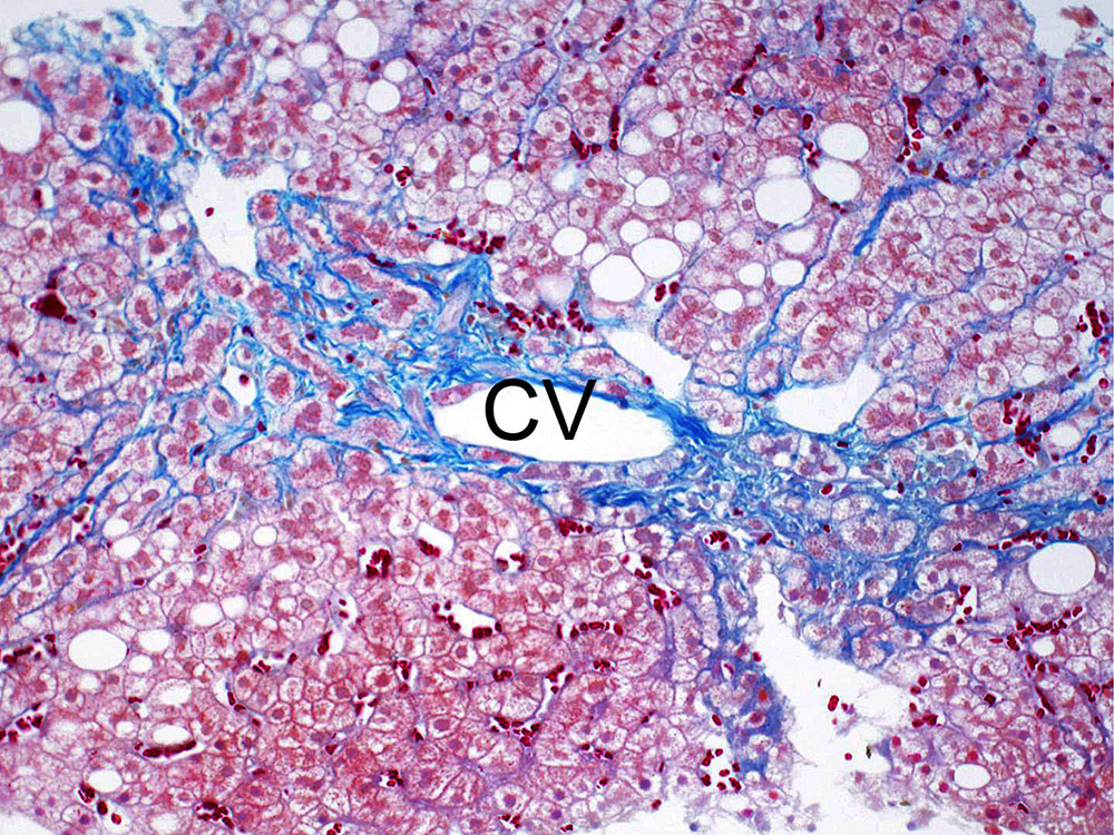
Figura del artículo original: Ramírez Mejía MM., et al. Arch Med Res. 2026;57:103387.
Evidencia clínica en enfermedad hepática
Aunque los estudios clínicos aún son limitados en número, los resultados disponibles son consistentes y alentadores. Ensayos tempranos en pacientes con fibrosis avanzada demostraron mejoría histológica, reducción de marcadores inflamatorios y buena tolerancia. Posteriormente, estudios más amplios como PROMETEO y ODISEA evaluaron pirfenidona de liberación prolongada en pacientes con fibrosis avanzada y cirrosis compensada, incluyendo una proporción significativa de pacientes con EHEM. Los hallazgos más relevantes incluyen:
- Regresión de fibrosis evaluada por métodos no invasivos.
- Mejoría en pruebas de función hepática.
- Incremento en recuento plaquetario y parámetros de reserva hepática.
- Mejoría en calidad de vida.
- Perfil de seguridad favorable, con efectos adversos generalmente leves y transitorios.
El estudio MINERVA, en pacientes con fibrosis residual tras curación de hepatitis C, aportó evidencia adicional de regresión de fibrosis asociada a cambios epigenéticos, reforzando la plausibilidad biológica del fármaco. En este estudio se utilizó a la biopsia así como a la elastografía hepática como métodos para evaluar la reducción de la fibrosis.
Pirfenidona frente a otros tratamientos emergentes
El artículo compara la pirfenidona con otras terapias en desarrollo para la EHEM, como agonistas del receptor GLP-1, agonistas PPAR y agonistas del receptor tiroideo beta. Mientras muchos de estos fármacos muestran mayor eficacia en etapas tempranas (F1–F3), la pirfenidona parece tener un papel particularmente relevante en estadios avanzados (F3–F4), donde las opciones terapéuticas son más bien limitadas. Esto sugiere que la pirfenidona podría ocupar un lugar específico dentro de un enfoque terapéutico combinado y personalizado, adaptado al estadio de la enfermedad y particularmente en aquellos con fibrosis avanzada (F3-F4), cirrosis compensada (F4) o bien en pacientes con Hepatitis Viral C, ya tratados con antivirales, que lograron la erradicación del virus y que, a pesar de ello, continúan con fibrosis hepática residual que afecta su pronóstico de vida.
Conclusión de los autores
La pirfenidona emerge como un agente antifibrótico prometedor en la esteatohepatitis metabólica, con un mecanismo de acción amplio que aborda de forma directa los principales procesos responsables de la progresión de la enfermedad. Aunque aún se requieren estudios más amplios y de mayor duración, la evidencia actual respalda su potencial utilidad, especialmente en pacientes con fibrosis avanzada o cirrosis compensada.
En un escenario donde la Enfermedad Hepática por Esteatosis Metabólica (EHEM) continúa en ascenso y la fibrosis sigue siendo el principal predictor de desenlaces adversos, la pirfenidona representa una línea de investigación clínica sólida y esperanzadora, que podría contribuir de manera significativa al manejo integral de esta enfermedad compleja.
Referencias:
1. Ramírez-Mejía MM, Ponciano-Rodríguez G, Poo JL, Méndez-Sánchez N. Pirfenidone as a pleiotropic antifibrotic agent in metabolic steatohepatitis: From mechanisms to clinical evidence. Arch Med Res. 2026;57:103387.
2. Poo JL, Torre A, Aguilar-Ramírez JR, Cruz M, Mejía-Cuán L, Cerda E, Velázquez A, Patiño A, Ramírez-Castillo C, Cisneros L, Bosques-Padilla F, Hernández L, Gasca F, Flores-Murrieta F, Treviño S, Tapia G, Armendariz-Borunda J, Muñoz-Espinosa LE. Benefits of prolonged-release pirfenidone plus standard of care treatment in patients with advanced liver fibrosis: PROMETEO study. Hepatol Int. 2020 Sep;14(5):817-827. doi: 10.1007/s12072-020-10069-3.
3. Muñoz-Espinosa LE, Torre A, Cisneros L, Montalvo I, Malé R, Mejía S, Aguilar JR, Lizardi J, Zuñiga-Noriega J, Eugenia Icaza M, Gasca-Díaz F, Hernández-Hernández L, Cordero-Pérez P, Chi L, Torres L, Rodríguez-Alvarez F, Tapia G, Poo JL. Noninvasive Evaluation of Prolonged-Release Pirfenidone in Compensated Liver Cirrhosis. ODISEA Study, a Randomised Trial. Liver Int. 2025 Jun;45(6):e70131. doi: 10.1111/liv.70131.
4. Cerda-Reyes E, de la Rosa-Bibiano R, Sandoval-Rodriguez A, Rosas-Campos R, Torre A, Cornejo-Hernández S, Escutia-Gutiérrez R, Vázquez-Esqueda Á, Gutierrez-Cuevas J, Gutiérrez-Átemis A, Amezquita-Pérez S, Poo JL, Garrido-Sánchez GA, Bastida-Alquicira J, Saldaña-Rivera E, Lozano-Trenado LM, Ramón-Aguilar J, Madrigal JA, Armendariz-Borunda J. HCV patients with residual fibrosis after DAA treatment re-establish their epigenetic signature after prolonged-release pirfenidone: MINERVA study. Clin Epigenetics. 2025 Oct 3;17(1):157. doi: 10.1186/s13148-025-01969-y.

