¿QUE SON LOS QUISTES HEPÁTICOS?
- Escrito por Fernanda García Alvarado
- Publicado en Cáncer de hígado
Los tumores hepáticos benignos son relativamente frecuentes y no suelen producir síntomas. Sin embargo, en muy pocas ocasiones algunos de estos tumores provocan malestar en la zona derecha superior del abdomen, o causan un aumento del volumen del hígado o una hemorragia interna en la cavidad abdominal. Entre los tumores hepáticos no cancerosos (benignos) se incluyen nlos quistes hepáticos.
Se llama quiste a cualquier tipo de lesión que esté llena de líquido. Cuando se localizan en el hígado se denominan quistes hepáticos.
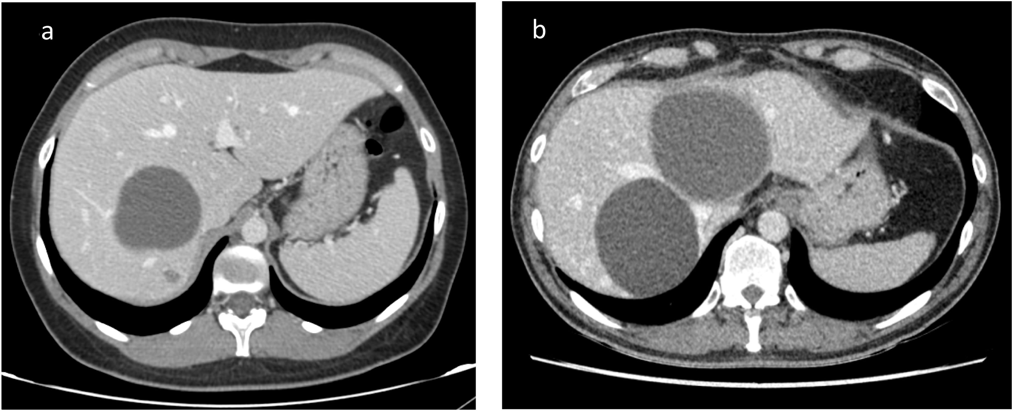
En la mayoría de las ocasiones, los quistes hepáticos no producen síntomas y se descubren de forma casual al realizar alguna exploración del hígado por otro motivo (generalmente una ecografía o una tomografia axial computarizada o TAC). Existen varios tipos de quistes hepáticos.
Los más frecuentes, con gran diferencia, son los quistes simples, que son benignos, de pared fina y de tamaño variable. La mayoría de ellos son de pequeño tamaño y no producen síntomas ni otros problemas. Son más frecuentes en mujeres y la gran mayoría no requiere seguimiento ni tratamiento.
En algunas ocasiones, bastante más raras, estos quistes pueden ser de gran tamaño (por encima de los 5 cm) o menos grandes pero numerosos, y entonces pueden provocar algunos síntomas como, por ejemplo, molestias abdominales, sensación de saciedad u otros. De forma infrecuente, estos quistes grandes se pueden complicar: si sangran, si se torsionan, si se rompen o si comprimen alguna otra estructura vecina, como por ejemplo la vena porta.

Otras veces, lo que ocurre es que hay múltiples quistes en el hígado. Se trataría de la enfermedad poliquística del hígado, definida por la presencia de cuatro o más quistes. Es una entidad infrecuente y algo peculiar, ya que es hereditaria; la afectación del hígado es más importante y frecuentemente se asocia con quistes en otros órganos como el riñón (la más frecuente, que puede causar insuficiencia renal), el bazo o el páncreas, así como alteraciones a otros niveles, por ejemplo, aneurismas intracraneales. Al ser hereditaria, es necesario estudiar a la familia.
Existen otras situaciones en las que hay lesiones en el hígado que simulan un quiste o que tienen parte de componente líquido. En estos casos es posible que su médico solicite otras exploraciones complementarias para hacer un diagnóstico correcto (abscesos, neoplasias, cistoadenomas, etc.). En estos casos puede ser necesaria la realización de análisis, pruebas de imagen específicas o punción del líquido de la lesión para su estudio. Los cistadenomas, concretamente, son tumores quísticos benignos del hígado, más frecuentes en mujeres, que pueden en ocasiones hacerse malignos, por lo que se suele indicar tratamiento quirúrgico.
Como ya se ha comentado, la mayoría de los quistes son simples y de pequeño tamaño por lo que no requieren seguimiento ni tratamiento. No obstante, en ocasiones su médico le solicitará una segunda ecografía un tiempo después para confirmar que permanecen sin cambios en su tamaño, sobre todo en aquellos que son grandes, parasitarios o múltiples. También, en otras ocasiones, para poder completar el estudio, su médico le solicitará otras pruebas de imagen más específicas como un TAC o una resonancia magnética.
Muy raramente los quistes requieren tratamiento quirúrgico, y esto ocurre fundamentalmente cuando los quistes son muy grandes y han presentado algún tipo de complicación (rotura, hemorragia, infección, etc). Existen diversas técnicas quirúrgicas que se pueden utilizar en función de cada caso concreto (tratamiento percutáneo, fenestración, resección hepática o, excepcionalmente, trasplante hepático).
El pronóstico es favorable en la mayoría de las ocasiones cuando se diagnostica un quiste hepático aunque estos causen dolor o aumenten de tamaño.
Referencias:
1. Reid-Lombardo, K. M., Khan, S., & Sclabas, G. Hepatic cysts and liver abscess. Surgical Clinics. 2019; 90(4), 679-697.
Artículo de Divulgación revisado y adaptado por el Dr. Jorge Luis Poo, Hepatólogo Clínico, miembro del Comité Editorial de tu portal AMHIGO y fundador del Grupo Mexicano para el Estudio de las Enfermedades Hepáticas
